It’s been two weeks since Monty’s surgery, and one week since learning his biopsy came back that he has cancer. Monty went in for his surgery follow-up yesterday and his mouth is healing up nicely! The new tissue looked weird to me, so I was paranoid the tumor had already grown back but it’s just a normal new tissue growth process. (Whew) The only problem right now is Monty wants to play like normal, but his mouth is still healing so we are having to get creative to replace his usual games of fetch and chew toys.
I heard back from the CSU Animal Cancer Center – we are off the wait list and have an appointment: March 6. I am excited to talk with their specialists and start to move forward with a plan. My regular vet is also reaching out to her colleagues to find a dental specialist who may be open to taking Monty on (if and when he’ll need a more invasive surgery that could include his jaw bone).
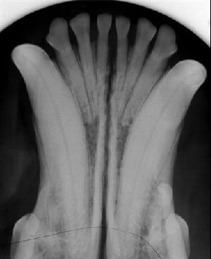
Due to where the tumor was/will be when it comes back (next to his mandibular symphysis), the surgery will be more involved than normal. The mandible is comprised of two halves joined together on the midline at the mandibular symphysis, which is a fibrocartilaginous joint aka his bottom jaw is actually two bones that come together at the front of his mouth (note the gap shown in this random, not Monty’s mouth xray – if it was Monty, those six little teeth would all be gone!). So surgery needs to be very careful in this area since it’s not just regular bone and involves a joint.
For now, we are just focusing on healing from the initial surgery and I am doing whatever research I can to prepare for our next steps. Monty is feeling great (currently barking at a squirrel who dares to be in the back yard) and ready to get his toys back, and also super pumped that we have some snow on the ground again. We’ll update again after our CSU appointment on Monday, March 6!
